Contenido principal

Patología de base de cráneo

  • Compartir
  • La base del cráneo es la parte inferior del cráneo. Esta área es extremadamente delicada porque cada nervio que conecta el cerebro con el resto del cuerpo debe moverse a través de esta área. La patología de esta región  variable, dada la localización el Abordaje Endoscópico Endonasal (AEE) permite a los cirujanos tratar muchos tumores difíciles de alcanzar y otras patologías, incluso aquellas que antes se consideraban inoperables. Asi mismo comporta muchos otros beneficios respecto a la cirugía tradicional, como son: menor duración, disminución de la estancia hospitalaria, ausencia de cicatrices faciales, ausencia de alteración del cráneo, importante mejoría de los resultados funcionales.

     

    Endoscopio
  • Tumores cerebrales, pituitarios y patología de la base del cráneo que pueden ser tratados con abordajes endoscópicos endonasales


     

  • Los tumores pituitarios son crecimientos anormales en el tejido de la glándula pituitaria. Casi todos los tumores pituitarios son benignos o no cancerosos.


    Síntomas: Algunos tumores hipofisarios conducen a una producción hormonal excesiva, mientras que otros restringen las funciones normales de esta glándula. Estos tumores se denominan adenomas hipofisarios o pituitarios.

    Los tumores pituitarios permanecen confinados a la glándula y no se extienden a otras partes del cuerpo. Algunos tumores pituitarios conducen a cambios en el equilibrio hormonal, problemas de crecimiento e incluso daños en los nervios.

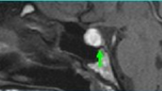
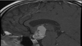
    Los Macroadenomas hipofisarios son tumores que miden más de 10 milímetros, mientras que los microadenomas son tumores más pequeños de 10 milímetros

    Hipofisis
  • Síntomas: La clínica es muy variable y depende en gran medida de si el tumor está secretando una o más hormonas. Incluso sin la secreción de la hormona, la localización del tumor en la base del cerebro puede traer una gama amplia de síntomas.

    • Dolor de cabeza y una sensación de “presión”
    • Pérdida de visión, afectando particularmente la visión periférica
    • Algunos pacientes pueden experimentar una sobreproducción de hormonas, dando como resultado cambios en el ciclo menstrual, cambios de humor e infertilidad, crecimiento óseo. 

    Los tumores hipofisarios a veces secretan ciertas hormonas, que pueden conducir a una variedad de cambios en su salud. 

     

    Tumores que secretan hormonas estimulantes de la tiroides


    Pueden llevar a una producción excesiva de hormona tiroxina en el tiroides. Los tumores secretores de hormonas estimulantes de la tiroides pueden conducir a síntomas que incluyen:

    • Pérdida de peso
    • Pulso rápido o irregular del corazón
    • Movimientos intestinales frecuentes…

    Tumores secretores de prolactina


    Pueden disminuir los niveles normales de hormonas sexuales, incluyendo el estrógeno y la testosterona. Los tumores secretores de prolactina pueden conducir a síntomas que incluyen:

    • Períodos menstruales irregulares
    • Secreción lechosa de los pechos (Galactorrea)
    • Pérdida de Líbido/impotentcia  

    Tumores secretores de hormonas adrenocorticotrófica


    Producen la hormona que estimula las glándulas suprarrenales, donde, a su vez, se produce el cortisol. Los tumores secretoras de hormonas adrenocorticotróficas pueden conducir a síntomas que incluyen:

    • Adelgazamiento de brazos y piernas.
    • Redondez exagerada de la cara
    • Presión arterial alta y elevación del azúcar en la sangre Acné
    • Moratones frecuentes por fragilidad capilar
    • Debilitamiento de los huesos
    • Ansiedad y cambios de humor

    Tumores secretores de hormona de crecimiento (acromegalia)


    Produce cantidades excesivas de la hormona del crecimiento durante la edad adulta, lo que lleva a un aumento en el tamaño del hueso, sobre todo de las manos, los pies y la cara. Debido a la aparición de los síntomas se produce gradualmente, esta patología se diagnostica habitualmente de forma tardía.

    Diagnóstico: Las pruebas de sangre y orina medirán sus niveles hormonales y los valores de azúcar en la sangre. Estas pruebas pueden identificar otras patologías que podrían causar sus síntomas, y por lo tanto descartar un adenoma hipofisario.En casos dudosos se puede realizar un cateterismo de senos petrosos inferiores.En esta prueba, pequeños tubos se guían en las venas desde la ingle hasta los senos petrosos, a ambos lados de la glándula pituitaria para recoger la sangre en cada lado. Estas muestras entonces se analizan para confirmar si la glándula pituitaria es la fuente del exceso de hormona.Es posible que su médico le solicite que le hagan una resonancia magnética o tomografía computarizada de su cabeza. La exploración buscará un tumor en su glándula pituitaria.

    Tratamiento

    Depende del tipo de tumor el tratamiento puede ser mediante tratamiento médico. En algunas ocasiones el tratamiento de elección es la cirugía.

    El tratamiento quirúrgico preferido para adenoma de la pituitaria es la vía endoscópica endonasal (EE) que elimina el tumor. Esta técnica innovadora y mínimamente invasiva utiliza las cavidades nasales y paranasales como corredores naturales para acceder a tumores de difícil acceso o inoperables previamente. Esta vía ofrece los beneficios de no requerir incisiones, no altera la morfología dela cara y el tiempo de recuperación es más rápido.

    Otros tratamientos: radiocirugía estereotáctica, radioterapia de intensidad modulada (IMRT).   

  • Los craneofaringiomas son tumores benignos  que crecen en la base del cerebro cerca de la glándula pituitaria.


    Estos tumores son más comunes en niños de 5 a 10 años, aunque también pueden aparecer en adultos mayores de 50 años. De hecho, casi la mitad de todos los craneofaringiomas se desarrollan en personas menores de 20 años.

    Craneofaringioma
  • Síntomas: Aunque el craneofaringioma es un tumor benigno, puede ejercer una presión excesiva sobre el cerebro y causar fuertes dolores de cabeza, problemas de visión y vómitos. El daño a la glándula pituitaria puede conducir a problemas hormonales, que van desde la sed excesiva al crecimiento enlentecido, entre otros síntomas. Pueden comprimir la hipófisis y producir alteraciones de la secreción hormonal.

    Diagnostico:

    • Pruebas de imagen- Resonancia magnética confirma el diagnóstico y sirve para valorara  el tamaño y la extensión del tumor.
    • Un examen neurológico para evaluar la visión, el oído, el equilibrio, la coordinación y los reflejos.

    Si hay problemas hormonales debe ser valorado por un endocrinólogo.  

    Tratamiento: En el Hospital 12 de Octubre el tratamiento quirúrgico de elección  para los craneofaringiomas de la base del cráneo es el Abordaje Endoscópico Endonasal (AEE). Esta técnica innovadora y mínimamente invasiva utiliza la nariz y las cavidades paranasales como corredores naturales para acceder a tumores de difícil acceso o inoperables previamente. Aunque el objetivo de la cirugía es la eliminación total del tumor con preservación de la función pituitaria, en algunos casos la proximidad del craneofaringioma a las estructuras críticas del cerebro (el hipotálamo, el quiasma óptico y los vasos sanguíneos) hace imposible la resección completa.

    El abordaje endonasal ampliado ofrece una mejor vista de la superficie inferior de los nervios ópticos, el quiasma y el tallo pituitario.

    Otros tratamientos: resección mediante craneotomía, radiocirugía si es de pequeño tamaño.

  • El quiste de la bolsa de Rathke se origina de remanentes epiteliales de la bolsa de Rathke situados entre el lóbulo anterior y el intermedio de la hipófisis.


    Durante el desarrollo embrionario, la bolsa de Rathke se forma como una depresión en el techo de la boca, eventualmente perdiendo su conexión a la faringe y dando lugar a la glándula pituitaria anterior.

    Quiste
  • Si en lugar de regresar la hendidura persiste y se agranda, puede formarse en un quiste de la bolsa de Rathke. La mayoría de estos quistes son pequeños, sin síntomas y se decubren de manera incidental y no precisan tratamiento.

    En algunos casos, la acumulación continua de líquido puede hacer que el quiste crezca. A medida que crece, ejerce presión sobre las estructuras circundantes, incluyendo:

    • Glándula pituitaria
    • Quiasma óptico
    • Hipotálamo

    Síntomas: La gran mayoría son asintomáticos. Pero si crecen pueden presentar síntomas por compresión de estructuras cercanas como:

    • Disfunción de la hipófisis
    • Alteraciones visuales
    • Dolores de cabeza…

    Diagnóstico: La resonancia magnética es la prueba de elección. 

    Tratamiento: Para los quistes de la bolsa de Rathke asintomáticos, la observación a largo plazo. Si el quiste causa síntomas, o el diagnóstico es dudoso, el quiste puede requerir tratamiento quirúrgico. Se pueden abordar directamente utilizando el método endoscópico endonasal (EEE). Esta técnica, mínimamente invasiva enfoque permite a los cirujanos acceden al quiste a través del corredor natural de la nariz, sin hacer una incisión abierta

  • Los cordomas son un tipo de cáncer de hueso primario generalmente localizado en el cráneo o la columna vertebral.


    Estos tumores de crecimiento lento son raros, representando sólo el 1 por ciento de los cánceres del sistema nervioso central.

    Se desarrollan a partir de restos de notocorda, que preceden a la columna vertebral durante el desarrollo embrionario.

    Mientras que los cordomas se pueden encontrar en cualquier sitio a lo largo del esqueleto axial, se encuentran con mayor frecuencia en la base de la columna vertebral (sacro), el coxis (coxis) y la base del cráneo (clivus).

    Síntomas: La clínica es variable según tamaño: dolor de cabeza, visión doble, dolor facial, cambios en la audición, dificultad para tragar

    Diagnóstico: La prueba de imagen de elección para el diagnóstico es la resonancia magnética

    Tratamiento: Existen tres tratamientos estándar para el cordoma de la base del cráneo, que son la cirugía, la quimioterapia y la radioterapia. En ocasiones precisan de la combinación de estos tratamientos. La alta tasa de recurrencia de estos tumores requiere un seguimiento estrecho. El abordaje quirúrgico de elección es la cirugía endoscópica endonasal. Este tratamiento mínimamente invasivo permite acceder al tumor a través del corredor natural de la nariz, sin hacer una incisión abierta en la piel.

     

  • El condrosarcoma es un tumor maligno (canceroso), típicamente encontrado en la base del cráneo (clivus), las células de cartílago del fémur, el brazo, la pelvis, la rodilla, y la columna vertebral.


    Al igual que con todos los tipos de cáncer, el pronóstico o resultado depende del tamaño del tumor y si se ha propagado a estructuras distantes.

    El condrosarcoma ocurre con mayor frecuencia en personas entre 50 y 70 años de edad. Rara vez afecta a personas menores de 20. Los hombres y mujeres presentan el mismo riesgo de desarrollar condrosarcoma.

    Síntomas: Los síntomas pueden incluir un gran bulto o masa en un hueso, la presión que rodea la masa, o dolor severo. Los síntomas de condrosarcoma de la base del cráneo son neurológicos, y pueden incluir dolores de cabeza, así como alteraciones en la visión, audición, deglución o fonación (entre otros).

    Tratamiento: Cuando el tumor se localiza en la base del cráneo habitualmente se puede abordar mediante abordaje endoscópico endonasal. Este tratamiento ofrece los beneficios de no  precisar incisiones externas, no alteración de la  morfología facial y un tiempo de recuperación más rápido. Generalmente precisa tratamientos complementarios, como la radioterapia y/o quimioterapia.

  • Un meningioma es un tumor de los revestimientos protectores del cerebro y la médula espinal. Estos revestimientos se llaman meninges.


    La mayoría de los meningiomas son benignos.

    Pueden aparecer en todas las localizaciones donde haya meninges.

    Síntomas: Los meningiomas de base de cráneo no suelen dar clínica no ser que compriman estructuras como el tronco encefálico y / o nervios ópticos, pares craneales.

    Tratamiento: El tratamiento de los meningiomas de base de cráneo es variable según localización y tamaño. El tratamiento de elección es el abordaje endoscópico endonasal. Esta técnica innovadora y mínimamente invasiva utiliza las cavidades nasales y nasales como corredores naturales para acceder a tumores de difícil acceso o inoperables previamente.

    Otros tratamientos: craneotomía y resección mediante, radiocirugía, radioterapia.

  • El estesioneuroblastoma (también conocido como neuroblastoma olfativo) es un cáncer muy raro que se desarrolla en la parte superior de la cavidad nasal.


    Se cree que surgen de tejido neural asociado con el sentido del olfato. Generalmente crecen lentamente, pero en algunos casos pueden progresar rápida y agresivamente. Los tumores de crecimiento más rápido son capaces de metástasis generalizada.

    Síntomas: La clínica más característica es la congesión nasal crónica.

    Tratamiento: El tratamiento quirúrgico de elección para los estesioneuroblastomas  es el abordaje endoscópico endonasal . Esta técnica innovadora y mínimamente invasiva utiliza la nariz y las cavidades paranasales como corredores naturales para acceder a tumores de difícil acceso o inoperables previamente. No precisa incisiones en piel, no altera la morfología facial y el tiempo de recuperación más rápido. Generalmente precisan radioterapia después de la cirugía.

  • También conocido como schwannoma vestibular. Es un tumor benigno en el octavo nervio craneal, el nervio vestibulococlear. Este nervio está involucrado en la audición y el mantenimiento del equilibrio.


    Los neurinomas del acústico suelen ser tumores solitarios que crecen lentamente durante un período de años, expandiéndose lentamente en su sitio de origen.

    Síntomas: Los primeros síntomas de un neurinoma del acústico incluyen la pérdida gradual de la audición y el zumbido en el oído afectado. Los problemas de equilibrio a menudo surgen a medida que el tumor crece.

    Los tumores más grandes que comprimen el tronco encefálico adyacente pueden afectar a otros nervios craneales locales, provocando debilidad facial, entumecimiento y hormigueo, y alteración de la sensibilidad en la cara y boca del lado afectado.

    Tratamiento: Dependiendo de la localización exacta y el tamaño del neurinoma del acústico, se pueden ofrecer vigilancia, cirugía mediante abordaje endoscópico endonasal, cirugía abierta mediante craneotomía, así como radiocirugía.